人体是由不同骨骼通过关节,韧带等联系成的一个整体.骨骼在人体内的作用尤为重要。随着我国经济建设和工业化程度的不断提高,道路交通伤、高处坠落伤等高能量损伤日益增多,严重威胁各行业工作者的生命安全。与此同时,我国人口老龄化进程进一步加快,以高龄、多病、全身耐受差为特点的骨折亦逐年增多。这就需要专业的骨科医生予以修复,在柳州市人民医院创伤骨科,就有这样一批恪尽职守的白衣天使 ,时刻守护着患者生命安全。
随着一阵救护车的鸣笛声,一位急诊创伤病人被送入了柳州市人民医院,医护人员快速奔跑、准备手术的脚步声打破了整个病区的平静,而这样的急诊手术,对于创伤骨科而言,已是工作常态。

伤者工作中右手不幸被机器卷入,其右手拇指被卷入皮带轮,导致右手拇指从第一掌指关节处完全离断,近节指骨骨折,肌腱、血管、神经完全撕脱抽出,并伴有大量出血,情况十分紧急。
为争分夺秒保障手术最佳时机,为患者进行的断指再植,手术分两组同时进行,急诊科团队负责患者离断拇指清创,创伤骨科团队负责伤口清创修整,并为将要进行吻合的血管、神经、肌腱寻找新“供体”。

断指再植成活的前提是建立有效的血运,吻合的动脉、静脉血管畅通。患者拇指肌腱、神经撕脱约30多厘米,动脉、静脉血管因撕脱伤同样损伤严重,这对于创伤骨科医疗团队来说,是一项严峻的挑战。为了保住伤者的拇指,创伤骨科医疗团队密切配合,骨折固定、肌腱神经转位、动脉血管吻合一气呵成,离断拇指恢复正常血运;针线在显微镜下穿梭,患者拇指背侧的静脉血管全部完成吻合,三个半小时后,手术顺利结束,患者被安全送回了病房。

据我院创伤骨科副主任任伟民介绍,创伤骨科需要应对许多突发状况,像这样突发的救治情况经常发生,这就要求科室的医护人员必须具备快速接诊的应急反应能力,高水平的诊治技术,与多学科联合诊疗协同作战的理念,目前科室的医生工作没有时间点,更不可能有节假日,有时候做一台手术就得站五六个小时,每一位医生必须保持24小时电话畅通,随时候命备战,一切为了病人服务,只要能帮助病人解除危险和病痛,让患者满意认可,苦点累点都值得了!

柳州市人民医院创伤骨科隶属于骨科亚学科之一,从2008年成立到现在,科室的人才梯队建设,医务人员的素养和技术,设备水平的更新以及综合实力都得到了不同程度的发展和提升。在骨盆髋臼骨折、陈旧性骨折、复杂关节内骨折和难治性骨折不愈合、骨与软组织感染,烧(烫)伤治疗方面取得丰富的临床经验和良好的临床疗效。同时常规开展周围神经损伤功能重建、断指(肢)再植、各种复杂创面修复、先后天畸形矫正手术。科室目前拥有C型臂X线透视机、关节镜等配套的现代骨科手术器械以及专用手术室设施。手术方法、操作技术以及手术疗效达到广西区内领先水平。人工关节、老年骨质疏松、微创手术等先进技术的开展,骨折治疗、加速康复理念的引入和转变,都给伤者带来越来越多的福音。以前外伤的致残率相当高,但随着医疗技术的进步,这一情形有了很大的改观。
微创技术在骨科领域的应用日趋广泛,特别是当医生的操作技术不断成熟,影像技术和相关配套设备的不断完善,微创技术也逐渐广泛应用于骨科手术过程当中,成为了创伤骨科的“拳头技术”。

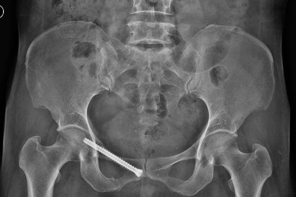
韦阿姨在干活时不慎被推车砸伤,失去了自主行走能力,被家属送入我院创伤骨科,经CT检查,患者为骨盆骨折,需手术治疗。
骨盆位置深,内部脏器结构丰富,血管神经复杂,一旦发生损伤,常常导致相应的血管神经损伤和大出血,所以骨盆骨折手术一直被认为是创伤骨科中最复杂的手术之一。

我院创伤骨科团队根据患者病情进行讨论,最终决定为患者行经皮微创通道螺钉固定术治疗。传统术式需要广泛的软组织剥离,会引起患者术中大量失血及伤口愈合的问题,同时传统大切口可能增加伤口感染的风险。骨盆微创手术不但伤口小,使患者不必再忍受传统手术大切口的痛苦,而且能确保骨折部位的良好复位与维持,牢固固定,为病患术后功能恢复提供了良好的前提保障。

由于骨盆骨折位置深,周边环绕重要的神经和血管,在这么一个完全闭合的空间环境里手术,对医生的技艺和经验要求特别高。施术医生聚精会神,按计划选取进针点,在透视下将螺钉置入约8mm的狭小骨通道中,对骨折部位进行内固定,经过一个小时,手术完美落幕。

经CT检查,结果显示骨折复位良好,骨盆环微创固定后稳定性恢复,在患者体表仅仅留下0.5厘米的小切口。
任伟民说,随着社会的发展,许多骨折治疗理念发生了重大的转变。有句俗话很形象地描述了过去的治疗时间——“伤筋动骨一百天”,而现在对骨折的治疗理念是“让伤者尽快地融入到社会中去”。使用微创技术,在骨折治疗方面,让伤者很快就能回归正常生活,不把他们圈在病床上。这一治疗理念上的根本变化,给许多伤者带来了意想不到的好处。尤其是对60岁以上的老年人,科室每年都会接到许多因摔伤导致骨折的老年人患者,他们或多或少都有些骨质疏松症,很容易发生脆性骨折,治疗方法上因人而异会与年轻人不同,尤其忌讳缓慢的治疗方法。
为了满足患者舒适化医疗的需求,创伤骨科引入加速康复外科理念,联合康复医学科、营养科、麻醉科等科室,将康复干预贯穿于整个围手术期。制定了术后疼痛管理和康复计划,为患者进行康复训练,促进患者更快康复。

由于“快速康复”可明显改善患者预后、加速术后康复进程,把康复锻炼前移,避免了二次损伤的出现,大大缩短了术后康复周期,减少了患者住院时间,减轻了患者的痛苦,使每一位骨科术后病人都能更好更快的恢复肢体功能。

尽管手术恢复很快,但骨折的愈合时间是谁也改变不了的。这需要有个生长期,如何保证伤者能够恢复如初,是柳州市人民医院创伤骨科团队重点关注和要解决的问题,医生都要对患者术后进行随访,根据骨折的情况,与伤者保持三个月、六个月、九个月甚至是一年的沟通,具体指导伤者一步一步的锻炼,保持治疗的连续性。不同年龄、不同性别、不同职业的人都有不同的个性化随访方案。“人性化、个性化服务是现代服务理念的体现,也是推动医院发展的动力。”任伟民说,“能为患者解除痛苦,是我们最大的欣慰。”
乘风破浪会有时,直观云帆济沧海。在新的征程中,柳州市人民医院创伤骨伤科将继续引进先进治疗技术,加强人才梯队建设,通过“走出去、请进来”提升医务人员专业素养和技术水平。发扬求真务实,勇于创新的精神,为全院高质量发展贡献力量,为患者提供更优质、高效的的医疗服务。
咨询电话:0772-2662680