作为医院首个试点病区,泌尿外科率先将这一创新服务模式落地生根。近日,他们帮助一名患局部晚期膀胱癌的“五保户”老人成功闯过手术难关,更让他在温情的免陪照护中重回健康生活。
年过6旬的张先生(化名)因血尿、排尿困难来到柳州市人民医院就诊。病理活检结果最终确诊为中分化膀胱鳞状细胞癌。

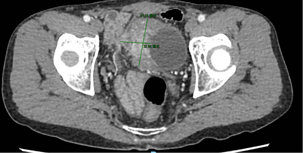
术前影像提示膀胱右侧壁巨大肿瘤,侵犯腹膜及膀胱外脂肪组织
这种恶性肿瘤预后较差,且张先生常年受泌尿系结石困扰,更是雪上加霜。泌尿外科团队经过审慎评估,认为“全膀胱切除术”是更合适的选择。然而,对于要强的他来说,术后终身佩戴造口袋的代价,一度让他宁愿放弃治疗。

在泌尿外科王伟主任团队的耐心沟通下,张先生心里的那道坎,终于一点点迈了过去。可就在他刚刚燃起一丝希望时,严重的血尿和排尿困难再次袭来,逼着他必须做出抉择。这一次,他没有退缩放弃,而是选择了相信。
2026年1月,王伟主任、周伟敏副主任团队为张先生实施了腹腔镜膀胱切除术+淋巴结清扫术。手术很顺利,更幸运的是,肿瘤并未扩散到淋巴结——这个结果,为也照亮了他接下来的康复之路。