“韦主任,我来找您复诊啦!”近日,柳州市人民医院关节骨病科副主任韦健博士的门诊来了一位满脸笑容的患者。想起这名女士刚入院时那严重变形的左腿,经过手术治疗如今已经恢复得和正常人一样,韦健博士感慨万千。
“白天疼晚上也疼,好好的日子都被这腿拖累了……”日前,柳州市人民医院关节骨病科韦健博士在繁忙的门诊工作中,迎来了一位步伐蹒跚的患者——莫女士。医生了解到,年轻时的莫女士身材高挑,拥有一双令人羡慕的大长腿。然而,类风湿性关节炎的侵袭,让她的双腿逐渐失去了往日的光彩。尽管她长期接受规范的药物治疗,但无情的疾病使得莫女士双侧膝关节严重变形、变歪,特别是长期疼痛的左侧膝关节,让她连室内行走都变得困难重重,更不用说去户外散步或跳广场舞了。

20多年来,莫女士备受折磨,家庭的经济困难使她未能及时接受有效的治疗。而近期病情的急剧恶化,已经严重影响了她的日常生活。于是,经过多方打听,莫女士慕名来到柳州市人民医院关节骨病科就诊,并于当日办理了住院手续。

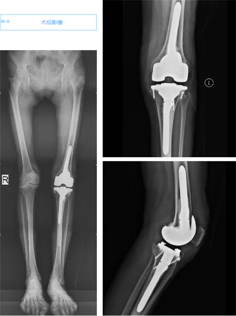
入院后,经过详细的检查,医生发现莫女士的左膝关节已经严重破坏,甚至达到了毁损的程度。韦健博士介绍,对于常规的“腿不歪”的严重膝关节磨损,用普通膝关节假体进行人工膝关节表面置换手术即可解决行走及疼痛问题,但对于莫女士这种罕见的、严重变形的毁损型膝关节,普通膝关节假体已经无法满足手术需求。
对于莫女士来说,这不仅是一次手术,更是她重获健康、重拾生活信心的关键。因此,韦健博士及其团队经过充分的讨论和周密的术前准备,决定采用髁限制型人工膝关节假体,为莫女士进行一场“美容”手术,帮助她实现重塑“大长腿”的梦想。

手术过程虽然复杂且技术难度极大,但在关节骨病科专家团队的精心操作下,手术顺利完成。术后当天,当莫女士看到自己的左膝关节重新变直时,她几乎不敢相信自己的眼睛。次日,当她尝试着下地走路时,发现膝关节竟然不再疼痛了,想到出院后能跟姐妹们一起跳广场舞,莫女士笑得合不拢嘴,她仿佛重获了新生,对未来充满了期待。周围的病友们也纷纷向莫女士送上了祝福,夸赞她仿佛重回了“18岁”。

在关节骨病科团队的精心治疗和护理下,莫女士的康复进展顺利,她不仅恢复了健康,更重要的是,她找回了对生活的热爱和信心。相信在不久的将来,就能在广场上看到莫女士翩翩起舞的身影,尽情享受着美好生活。
膝关节骨性关节炎是一种以膝关节软骨退行性病变和继发性骨质增生为特征的慢性关节疾病,膝关节炎症状往往进展缓慢,随着时间推移逐渐出现膝关节疼痛、肿胀、僵直、畸形等,导致患者不能灵活活动,严重者则完全无法行动,是中老年人致残的主要原因。许多老人由于患有骨性关节炎,出现膝关节疼痛难忍、膝盖僵硬、行走困难,严重影响和困扰老年人的生活,一般采用阶梯治疗方法治疗骨关节病,早期可用药物和理疗等方法控制病变的发展,中晚期需通过人工膝关节置换手术帮助老年人减轻疼痛、重新恢复正常行走功能,提高晚年生活质量。
柳州市人民医院关节骨病科凭借精湛的技术和丰富的经验,成功完成了多例此类手术。未来,科室也将继续发挥专业优势,以医疗技术及服务质量为核心,不断创新突破,为更多患者提供更优质的医疗服务!