“耳鸣的症状已经持续一年多了,耳朵里每天都有‘心跳’的声音,导致我夜晚睡不着,白天没精神。现在还有听力下降、头晕头痛的症状出现……严重影响到日常生活和工作,我真的不知道该怎么办了……”日前,韦女士(化名)来柳州市人民医院耳鼻咽喉科就诊时无奈地说。
原来,韦女士在一年前右耳突然出现了耳鸣的症状。“当时就觉得耳朵里有‘砰砰’的声音,频率和心跳声一致,刚开始我没有在意,可是连续几天一直都没有好转,便去了当地医院就诊。”
然而折腾了半年,引起耳鸣的原因却始终没有查清楚,随着时间的推移,韦女士耳鸣的症状却越发的严重,让她十分头痛。近日,她抱着一线希望来到了柳州市人民医院。


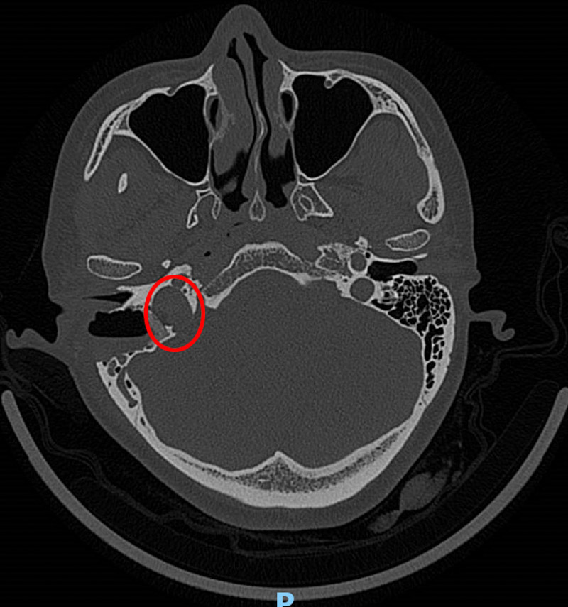
接诊医生了解情况后,为韦女士做了耳内镜及听力学检查,并没发现异常,但根据患者的实际情况并结合多年的经验判断,患者的右耳有可能患有血管搏动性耳鸣。为了进一步证实,患者进行了高分辨头颅CT检查,果不其然,放射科医生在CT影像学中发现了蛛丝马迹:患者的右侧颈静脉球高位,可疑合并前壁和外侧壁缺损。这就是导致韦女士耳鸣的罪魁祸首!

确定病因后,耳鼻咽喉科主任李纪辉立即召集团队一起为患者制定手术方案,做好一系列术前准备后,为韦女士行右侧颈静脉球还纳术进行治疗。术后一周,韦女士惊喜地发现,耳鸣的症状真的消失了!


“被耳鸣折磨了一年多,现在终于可以好好睡觉了。之前治病走了不少弯路,幸亏来到了柳州市人民医院,感谢耳鼻咽喉科医护团队为我带来了永久的平静!”韦女士感激地说。
搏动性耳鸣是一种有节律的耳鸣,由患者头颈部血管或肌肉产生,并通过骨骼/血管和血流传导至耳蜗而感知,患者自述耳内有如同心脏或血管脉搏跳动频率一致的耳鸣声。搏动性耳鸣的病因较多,多与血管相关,临床上颈静脉球高位为较常见的病因之一。耳部结构复杂、精细,放射学医师需要丰富临床经验及扎实的亚专业知识,才能从影像学资料中找出耳部细微的病变部位和病变类型。柳州市人民医院放射科通过多年亚专科外派进修及与临床专科密切沟通,对类似专科疾病的确诊率大幅度提高,自年初至今发现类似病例10余例,成功实施手术治疗6例,术后均取得了较好的疗效。
在此,柳州市人民医院耳鼻咽喉科李纪辉主任提醒广大市民,当发现耳内有如同心脏或血管脉搏跳动样耳鸣声,或波涛声、脉搏声等,可仔细观察其跳动节律,如有规律且多数和心脏跳动次数一致,就极有可能是血管搏动性耳鸣,应及时就医检查。除了血管异常的原因,还需要排除一些富含血管的肿瘤及脑部病变,比如颈静脉球体瘤、硬脑膜动静脉瘘等。