近日,柳州市人民医院口腔科完成了一例Le FortI型截骨成型术,在数字化导板的帮助下成功地移动了患者的上颌骨,为后期正畸治疗恢复正常咬合创造了有利条件。

患者小潘(化名)是一名花季少年,5年前发现右侧牙齿无法咬合,随着年龄的增长,症状越来越严重,遂来到柳州市人民医院口腔科就诊,经仔细检查,确诊为右侧先天性颌骨畸形伴有上颌牙列缺损。
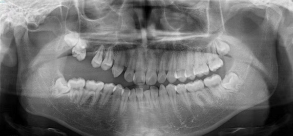
“上颌骨作为面中部1/3的骨性支撑,不仅决定了面中部的突度,还对患者的露齿、上牙中线的偏斜、牙合平面的偏斜等产生影响。”据口腔科副主任医师刘彦杰介绍,该患者右侧面部较左侧面部较小,右口角向上歪斜,右上唇较左侧薄,口内咬合紊乱,右侧开牙合,右上颌高出颌平面3-5cm,右下颌舌倾。如果不加以干预,可能会造成咬合紊乱加剧,面部愈发不对称,甚至累及颞下颌关节导致颞下颌关节紊乱,最终影响面部颌口腔功能,进食说话都受到影响。
为了解决小潘的困扰,口腔科专家团队进行了深入讨论,考虑到患者年龄,最终决定先进行正颌手术,再进行正畸治疗,达到最好的治疗效果。

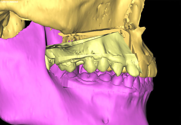
颌面畸形带给患者心理的痛苦是非常严重的,再加上患者正处在最美好的人生阶段,所以手术只许成功,不许失败,所有的环节必须容不得一丝差错。为了能使上颌骨能精确地移动,口腔科专家采用了先进的3D模拟技术制作出了咬合导板,在术前多次模拟重建手术,并向患者展示手术过程,使手术过程达到了最大可能的精准,减轻患者的心理负担。

手术当天,口腔科手术团队首先按照术前设计并3D模拟的截骨导板对右侧上颌骨进行精准分离,按照术前设计的咬合导板精确移动上颌骨达到预定位点,最后精准的使用坚强内固定固位。经过4个小时的努力,完成了正颌手术,待拆除钛板后即可进行咬合关系和对称面型治疗。

该例复杂的上颌骨正颌手术得以成功实施,得益于柳州市人民医院口腔科颌面外科团队和正畸团队超高技术实力和默契配合,通过精细的术前设计,先进的辅助手段,让很多传统术式发生了改变,不仅能让患者减少治疗过程中的不适,还能缩短治疗时间,同时还拥有更好的治疗效果,让患者获得更高质量的生活。