近日,柳州市人民医院ECMO团队成功完成四度喉梗阻患者在清醒状态下经体外膜肺氧合(ECMO)支持治疗建立人工气道,最大程度地保证了患者的生命安全并提高了患者的生存质量,充分展现了柳人医ECMO团队的处置管理能力和技术水平,也体现了多学科协作在清醒ECMO患者治疗技术方面的进步和发展。
生命垂危!喉梗阻患者紧急抢救
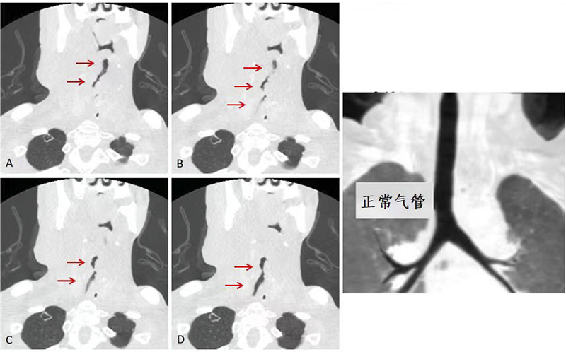
日前,广先生(化名)因呼吸困难到柳州市人民医院耳鼻咽喉科就诊,入院时患者颈部肿胀明显,可触及肿块。医生进一步询问病史了解到广先生既往有喉肿瘤病史,已治疗多年;现由于颈部肿物过大,导致患者气道受压影响呼吸,随时可能窒息危及生命。

入院完善颈部CT后提示喉癌术后复发及综合治疗后改变,肿物较前增大,合并感染。同时局部肿瘤侵犯气管,目前梗阻的气道随时可能危及患者生命,立即建立人工气道才有可能缓解呼吸困难、挽救生命并且提高患者的生存质量。但患者目前的基础状况要经历麻醉、建立人工气道手术,将可能出现插管困难、气道出血、甚至突发心脏骤停等情况。面对患者复杂的病情及棘手的治疗,患者及家属仍然表达了强烈的生存意愿,希望尽量延长生命,并且能最大程度地提高患者的生存质量。
力挽狂澜!清醒ECMO带来新生希望
为了让患者得到最合适的治疗方案,耳鼻咽喉科立即组织了全院大会诊,经耳鼻咽喉科、肿瘤科、麻醉科、胸外科、重症医学科、血管外科共同商讨后,制定了详细的治疗计划。为确保患者麻醉、手术的安全,避免出现窒息、心脏骤停等危及生命的情况发生,经过和家属的充分沟通,最终选择在ECMO技术的支持保护下进行人工气道建立术。
柳人医ECMO团队仔细分析了患者的具体情况并进行了综合评估,决定实施清醒ECMO辅助支持,该项技术能在患者接受麻醉、手术时确保心肺功能,且让患者保留自主呼吸功能,预防呼吸机相关性肺炎(VAP)的发生,保持呼吸肌和膈肌张力,促进术后尽早恢复下床活动,减少感染及静脉血栓发生。

充分完善各项术前准备后,ECMO团队为患者实施清醒VA-ECMO支持治疗,15分钟完成穿刺置管及成功转机,随后将患者送入手术室顺利完成人工气道建立及局部组织肿瘤浸润清除术,术中出血量仅5ml,术后返回重症医学科。经过密切观察及综合评估患者心肺功能,经清醒ECMO支持7小时,顺利撤机,术后第二天转回病房。

该患者手术的顺利开展和术后的早期恢复,得益于柳州市人民医院多学科之间的紧密合作,也得益于在麻醉、手术过程中存在呼吸、循环风险的患者在清醒ECMO支持下确保心肺功能稳定完成手术治疗及术后的早期恢复,标志着医院ECMO团队在清醒病人ECMO治疗技术方面的进步和发展,以及对危重症患者的救治能力不断提升。
柳人医ECMO团队,危重患者的守护者
体外膜肺氧合(ECMO)是一种体外生命支持系统,用于常规治疗无效的急性心脏、肺功能衰竭患者。通常,ECMO是提供给危重病人的。
清醒ECMO与常规ECMO的区别在于患者保持神志清醒、保留自主呼吸、无需机械通气,在使用过程中患者是清醒的,自主呼吸,甚至可以自主进食。目前,清醒ECMO在国内是一项比较领先的技术。相对于传统ECMO而言,清醒ECMO的实施和管理难度更大,对医护团队的技术要求更高,需要各方面良好的配合才能够完成。

自2016年柳州市人民医院开展ECMO技术以来,目前已实施共480余例次,病种涵盖暴发性心肌炎、重症肺炎、大面积肺栓塞、急性心肌梗死、心肺复苏术后、重症感染、急性中毒、重症胰腺炎、严重创伤等多种疾病,顺利救治9个月大婴儿至90岁高龄患者。重症医学科不仅培养科室医疗骨干进修学习ECMO技术,同时培训科室医护全员学习ECMO管理,不断精进自身技术水平,现已成为医院ECMO团队的中坚力量,承担医院ECMO团队培训;并于2022年作为牵头单位成立柳州市医学会体外生命支持分会,作为柳州市重症医学质控中心于同年设立ECMO技术质控组,举行2次市级ECMO技术相关学习班,不断提升疑难病诊治和护理水平,为生命保驾护航。
柳州市人民医院重症医学科将不断追求技术精进、严谨创新、敢于担当,争做全能型重症医学人,为危重患者撑起一道道安全屏障。
联系电话:0772-2662712、0772-2662725;24小时科室值班手机:18978010481。