过去,许多患者常常有这样的困扰,到口腔科就诊,经常不知道自己的问题该找哪个医生就诊,有时候找一个医生补牙,却要找另一个医生镶牙,容易反反复复折腾。柳州市人民医院口腔科门诊自今年推出“首席专家技术团队”管理模式以来,三个团队通过紧密协作、高度融合,真正做到让患者少跑腿,很好地解决了患者就诊来回奔波的问题。

我院口腔科门诊负责人唐震宇博士介绍,口腔疾病诊疗范围相对其他一些临床疾病较小,但发病机制却较为复杂且分类较细。近年来,随着多学科诊疗模式(MDT)在国际医学领域中的广泛应用,口腔内科、口腔外科、口腔修复正畸科作为口腔医学门类下的二级学科,它们之间的协作和融合显得尤为重要。只有通过紧密配合、密切沟通设计合理的治疗计划,运用疗效最优的治疗方法,才能取得理想的治疗效果,提高诊疗效率。

以正畸治疗为例,正畸临床治疗中,面对的不仅仅是各种牙颌畸形,同时也会面对更多的牙体、牙周、修复、关节、外科等口腔其他学科的复杂问题,这都需要正畸医生进行综合诊断、分析和治疗。另一方面,很多在牙周、修复等其他科室治疗的患者中,也需要正畸医生作为辅助,通过改善牙齿的排列、咬合关系等来完成综合的治疗设计。因此,对于具有复杂问题的患者来说,需要正畸医生联合其他相关学科的医生,从诊断和治疗设计阶段开始就确定矫治目标,预估矫治效果。

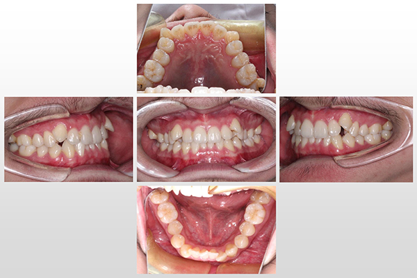
此前,我院正畸修复团队接到了一个下级医院的转诊病例,患者是一个前牙区重度拥挤的13岁小患者,他此前就诊的医院均要求拔除四个第一前磨牙和四个智齿共计八颗牙齿才能矫正。小患者的父母四处求医希望尽量少拔牙,而小患者也只想选择隐形矫正,这就对医生的技术要求极高。最终,小患者一家人选择来到柳州市人民医院就医。

治疗前
经多次会诊后,我院正畸修复团队、口腔外科团队、口腔内科团队联合制定治疗方案——只拔除四个智齿不拔除正常好牙,推磨牙向远中的隐适美无托槽隐形矫正,由口腔外科团队为小患者在颧牙槽嵴和外斜线上下颌四个位置各种植了一枚微螺旋种植钉,口腔内科团队为患者做了牙周维护,防止种植钉发炎,正畸修复团队经过近四年的努力终于排齐了牙齿,完成了高难度的牙齿移动,患者得到了满意的疗效。

治疗后
为适应分级诊疗的深入推进和区域医疗中心建设的要求,柳州市人民医院口腔科门诊及时调整学科建设和服务提升方向,加强学科发展平台、学科群建设,着力解决疑难复杂口腔疾病,依托优势学科群来推进和建设成熟的、完整的、可持续发展的多学科诊疗门诊体系。

为了更好地服务患者,今年,柳州市人民医院口腔科门诊在“科主任领导下的主诊医师负责制”的基础上,通过团队建设整合,调整服务模式,在全国范围内率先推出“首席专家技术团队”管理模式,明确了以“运行紧密高效、技术互为支撑、功能相辅相成”为目的的服务理念,组成了以口腔外科为主的维柳团队,以口腔内科治疗为主的欣怡牙体微创无痛治疗团队,以及以口腔修复正畸为主的丽齿口腔正畸团队,促进了口腔科门诊管理工作向纵深发展,取得了显著成效。

近期,口腔科门诊三个团队开展了广泛而又密切的协作,完成了多例疑难高难度病例的诊治,极大地提升了患者诊断的准确率,缩短了患者的候诊时间,从多种治疗方案中选优,从而达到最佳的治疗效果,更好地为患者的口腔健康保驾护航。