多发肺结节别惊慌,“杂交” 手术来攻关 | 柳人医胸外科 “微创组合拳” 带来新选择

发布日期:2025-11-12

来源:

点击数:

“医生,像我这样发现肺部好几个高危结节的,是不是要挨很多‘刀’?”诊室里,韦先生(化名)忐忑地讲出了顾虑。

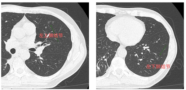
原来,韦先生在每年的例行检查中,发现了双肺多个高危磨玻璃结节,柳州市人民医院健康管理中心立即给韦先生安排了院内就诊。完成第一阶段右肺治疗后,左肺的两枚高危结节亟待解决。


若采用传统手术,需要切除左肺较多肺组织,这就好比在拆除“炸弹”时,不小心把周围的“好房子”也拆了一大片,创伤大、恢复慢,术后生活质量也会大打折扣。

韦先生的“扫雷”行动需要制定一份详细的“作战计划。医院胸外科主任曹健斌主任医师带领多学科诊疗(MDT)团队进行了深入评估。胸外科、肿瘤内科、医学影像科、麻醉科专家为患者制定了“一站式”杂交手术方案通过一次手术,同时处理肺部深处和浅表的多发结节,尽可能保留健康的肺组织,帮助患者术后更快康复

“相比传统手术,这一微波消融联合肺楔形切除术的杂交手术模式,体现了现代微创外科‘个体化、精准化、损伤控制的核心理念”曹健斌主任表示。

通过1-2个约2-3厘米的微小切口,就完成手术操作,尽量避免多处切口或大切口带来的身心创伤和负担。

患者术后第二天在医务人员帮助下下床活动

微波消融与切除手术的联合,离不开医院多学科协作模式的坚实保障,也是医院在复杂肺部疾病诊治当中“想患者所想,忧患者所忧”的体现医院坚持“以患者为中心”,在追求技术创新应用的同时,将患者的生活质量与身心感受置于首位

关注肺部健康,关键在于早发现、早干预。医生建议长期吸烟、有家族史或处于污染环境等高危人群,每年进行专项筛查。即使发现结节,也请保持冷静,多数情况并无大碍,只需遵照医嘱复查。若不幸确诊,在疾病早期积极行动,能为治疗赢得主动权,收获更为理想的预后。



关闭

©版权所有 2020  柳州市人民医院    技术支持:博达软件   管理登录

桂公网安备 45020202000098号    桂ICP备06011751号-1

快速服务热线(咨询、投诉、建议):0772-3612345    邮编:545006    地址:广西柳州市文昌路8号

Baidu
map